Modern concepts in indirect anterior adhesive dentistry
With Dr. Roberto Turrini (@dottrobertoturrini)
You can view the webinar here

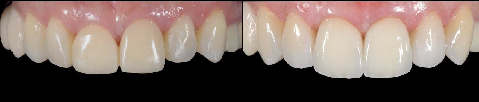
The use of all-ceramic restorations represents a valid alternative to complete crown restorations. The minimally invasive tooth preparation procedure allows the maximum preservation of health tooth structure thus guaranteeing vitality and higher overall resistance of restoration also thanks to the undeniable advantages offered by the adhesive cementation technique. Nowadays a new clinical approach based on an innovative minimally invasive prosthetic procedure (MIPP) also applicable to full crown restorations allows preservation of vitality and tooth structure. The availability of a wide range of ceramic material permits the achievement of excellent, long lasting esthetic results mixed rehabilitation on implants.
This prosthetic treatment workflow starts with an esthetic and functional plan which allows an ideal integration of esthetics, biological and functional requirements. Minimally invasive procedure can be applied to a large number of different clinical situations, from simple to complex cases of prosthetic adhesive rehabilitations, where indirect partial or complete restorations play an aesthetic and functional role both for anterior and posterior areas.

He is Visiting Professor at the University of Genoa, Italy, Department of Prosthodontics and active member of IAED (Italian Academy of Aesthetic Dentistry) and SIDOC (Italian Society of Conservative Dentistry).


Karma. members receive 10% discount
This webinar is sponsored by Microcopy Dental. For more info visit www.microcopydental.com









